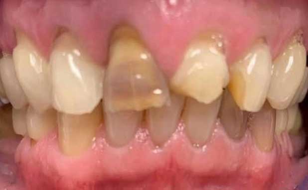
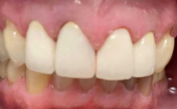
Rescure Your Tooth With A Dental Crown in Brandon FL
A cracked, worn-down, or weakened tooth doesn’t have to mean losing it. At A&S Dental Group in Brandon, FL, Dr. Sara Cervantes places custom dental crowns that restore both strength and appearance so you can chew and smile with confidence again.
- Start with a no-pressure consultation
- Get a custom treatment plan with transparent pricing
- We speak Spanish / Se habla español.
Reviews for A&S Dental Group
Your Local Dental Crown Expert in Brandon
WHEN DOES A TOOTH NEED A CROWN?
A cracked or chipped tooth that’s getting worse. Small cracks don’t always hurt right away, but they can spread over time and lead to bigger problems. A crown wraps around the tooth and holds it together so the damage doesn’t get worse.
A tooth weakened by a large filling. If a filling takes up most of the tooth, there isn’t much natural structure left to keep things stable. A crown covers the whole tooth and gives it the strength it needs to handle everyday chewing.
A tooth that’s worn down or discolored. Years of grinding, acid erosion, or old dental work can leave a tooth looking short, dark, or uneven. A crown restores the tooth’s original shape and color so it matches the rest of your smile.
WHAT EXACTLY IS A DENTAL CROWN?
A dental crown is a custom-made cap that fits over a damaged tooth. It covers the entire visible part of the tooth above the gum line, restoring its shape, size, strength, and appearance. Once it’s cemented in, it looks and feels like a natural tooth.
How We Place a Crown
Step 1 — Exam and preparation. Dr. Cervantes examines the tooth, takes X-rays, and determines if a crown is the right solution. She then reshapes the tooth so the crown can fit over it, and takes impressions to create your custom crown.
Step 2 — Temporary crown. While your permanent crown is being made, a temporary one protects the prepared tooth. This usually takes one to two weeks.
Step 3 — Permanent crown placement. Once your custom crown arrives, Dr. Cervantes removes the temporary, checks the fit and color, and cements the permanent crown in place. The whole process typically takes two visits.
Types of Crowns We Use
Porcelain crowns: The most natural-looking option. These match the color and translucency of your real teeth and work well for front teeth where appearance matters most.
Porcelain-fused-to-metal: Combines the strength of metal with the look of porcelain. A good choice for back teeth that take more force when chewing.
Crowns vs. Fillings
A filling repairs a small area of decay inside a tooth. A crown covers and protects the entire tooth. If the damage is too large for a filling to hold, or if the tooth is cracked, a crown is usually the better long-term solution. Dr. Cervantes will explain which option makes more sense for your specific tooth.
Learn More! Watch This Dental Crown Explainer Video
Need a Crown?
Watch this quick video to learn what it does and how it works.
WHY PATIENTS IN BRANDON CHOOSE A&S DENTAL GROUP
Experienced Dental Team
Led by Dr. Sara Cervantes, the team at A&S Dental Group provide treatment that covers everything under one roof.
Bilingual Dental Clinic
We speak English and Spanish fluently, so you can talk through your treatment in the language you prefer.
Open Monday to Friday
We’re open six days a week, including Saturday mornings, so you don’t have to miss work for your appointment.
★★★★★
Susan Sica
Meet Dr. Sara Cervantes, DMD
Dr. Sara Cervantes has been helping patients in Brandon, FL take care of their smiles for years. She earned her Doctor of Dental Medicine degree and built A&S Dental Group with one goal in mind: give every patient honest, high-quality care in a place that feels welcoming—not clinical.
She’s especially passionate about helping patients who’ve put off dental work because of anxiety, cost concerns, or a bad experience somewhere else. Whether you need a simple filling or a full bridge, she’ll take the time to explain your options in plain language—in English or Spanish—so you feel confident about your decision.
When she’s not in the office, Dr. Cervantes is active in the Brandon community and enjoys spending time with her family.
PAYING FOR YOUR DENTAL BRIDGE
We don’t think cost should stop anyone from getting the dental care they need. A&S Dental Group offers several ways to pay for your bridge treatment:
Insurance: We accept most major dental insurance plans. Our front desk team will help you understand your coverage and file your claim.
Payment plans: Need to spread out the cost? Ask about our flexible payment via Cherry
Cash and card: We accept cash, Visa, Mastercard, and American Express.
Not sure what your insurance covers?
Call (813) 681-7882 and we’ll look into it for you.
How to Find Us
A&S Dental Group is located at 1532 Oakfield Dr, Suite B, Brandon, FL 33511. We’re in a small professional plaza on Oakfield Drive, just off Lumsden Road—about 5 minutes south of Brandon Exchange (the mall formerly known as Westfield Brandon).
There’s free parking right in front of the building. Look for Suite B—we’re next door to Tampa Bay Spine and Sport.
From Brandon Exchange (the mall)
Head south on Providence Road toward Lumsden Road. Turn right onto Lumsden Road and go about half a mile. Turn left onto Oakfield Drive. A&S Dental Group is in the professional plaza on the right side—Suite B. The drive takes about 5 minutes.
From I-75
Take Exit 254 for State Road 60 (Brandon Blvd) and head east. After about 2 miles, turn right onto Providence Road. Then turn right onto Lumsden Road, followed by a left onto Oakfield Drive. We’re in the plaza on the right, Suite B.
From Downtown Tampa
Take the Lee Roy Selmon Expressway east toward Brandon. Exit onto State Road 60 (Brandon Blvd). Turn right onto Providence Road, right onto Lumsden Road, and left onto Oakfield Drive. The trip is about 20 minutes depending on traffic.
Book Your Appointment
Dental Bridge FAQs
How long does a dental crown last?
Most crowns last 10 to 15 years with proper care. Some last even longer. Regular brushing, flossing, and checkups are the best way to protect your investment.
Does getting a crown hurt?
No. The tooth is numbed before any work begins, so you won’t feel pain during the procedure. Some patients have mild sensitivity for a few days after, but it usually goes away on its own.
How long does the crown process take?
Most crown treatments are completed in two visits, spaced about one to two weeks apart. The first visit is for preparation and impressions. The second is for placing the permanent crown.
Can a crown fall off?
It’s rare, but it can happen—usually from chewing something very hard or sticky, or if the cement weakens over time. If it does, call us right away.
Our Service Areas
At A&S Dental Group, our goal is to make every visit comfortable and stress-free. Conveniently located at 1532 Oakfield Dr Suite B, Brandon FL 33511, we proudly serve patients from nearby communities such as Tampa, Riverview, Bloomingdale, Gibsonton, Plant City and Ruskin, Valrico and Wimauma. If you’re searching for a trusted “dentist near me,” we’re here to provide quality dental care for you and your family, focused on lasting oral health and bright smiles.
Tampa | Riverview | Ruskin | Bloomingdale | Gibsonton | Plant City | Seffner | Temple Terrace | Valrico | Wimauma












